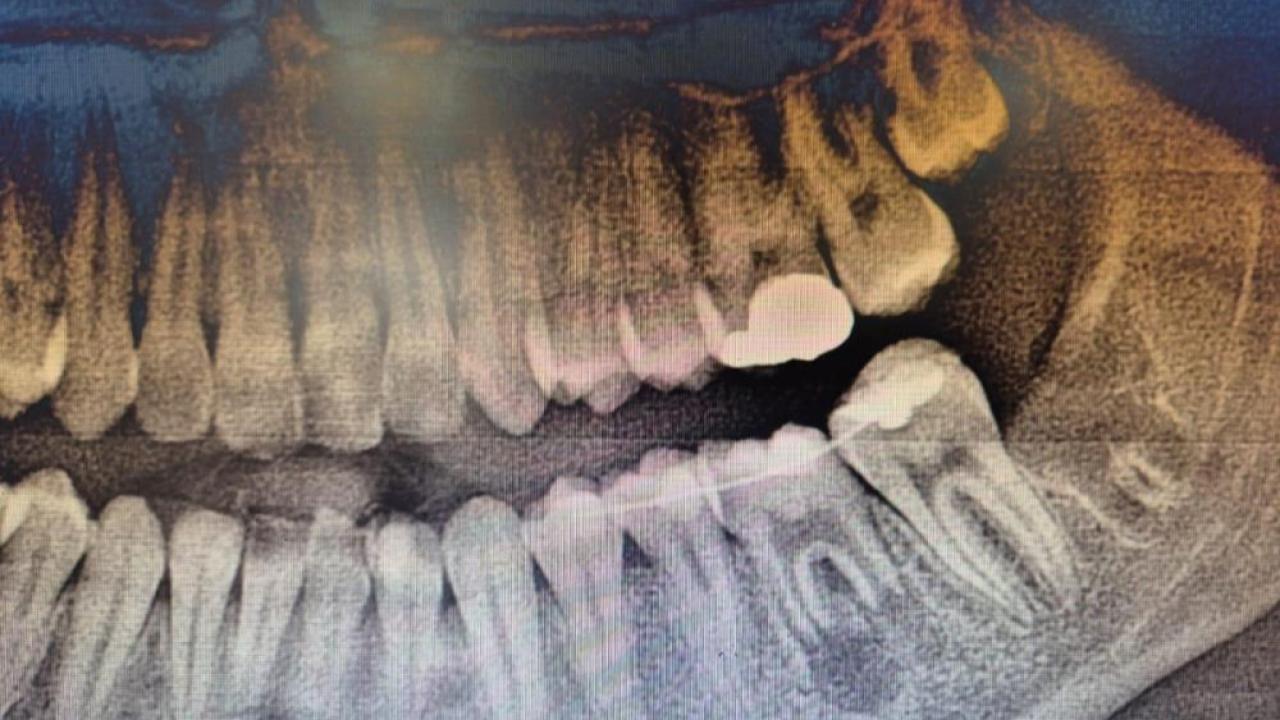
İleri düzey çürük nedeniyle daimi azı dişi çekilen hastaya, yaşı gereği çene gelişimi devam ettiği için klasik implant tedavisi uygun görülmedi. Bunun yerine, hastanın ağzında gömülü halde bulunan yirmi yaş dişi, uzman ekip tarafından cerrahi operasyonla çıkarılarak çekilen dişin yerine nakledildi.

"Kendi kanından elde edilen destekleyici biyomateryal kullanıldı"
Operasyon sırasında, dişin sağlıklı bir şekilde tutunmasını sağlamak için hastanın kendi kanından elde edilen PRF (Platelet Rich Fibrin) materyali, nakil öncesi hazırlanan diş yuvasına yerleştirildi. Bu uygulama, doku iyileşmesini hızlandıran ve hücre yenilenmesini destekleyen doğal bir yöntem olarak öne çıkıyor. Bu tedavi yöntemi, hastanın kendi dişi kullanıldığı için doğal görünüm, uyum ve fonksiyon açısından büyük avantaj sağlıyor. Aynı zamanda, vücut tarafından kabul edilme oranı yüksek olduğundan, uzun vadeli başarı şansı da oldukça yüksek.
Operasyon, Karabük Üniversitesi Diş Hekimliği Fakültesi Endodonti Anabilim Dalı Öğretim Üyesi Doç. Dr. Olcay Özdemir ve Ağız, Diş ve Çene Cerrahisi Anabilim Dalı Öğretim Üyesi Dr. Öğr. Üyesi Muhammed Abdullah Çege tarafından başarıyla gerçekleştirildi.

"Çocuk ve genç hastalar için güvenilir bir alternatif"
Uzmanlar, diş ototransplantasyonunun, uygun şartlar oluştuğunda özellikle çocuk ve genç hastalarda diş kayıplarına karşı etkili ve güvenilir bir alternatif olduğunu vurguladı.
Karabük Ağız ve Diş Sağlığı Eğitim ve Araştırma Hastanesi Başhekimi Prof. Dr. Ahmet Taylan Çebi ise, uygulamanın hastane bünyesinde gerçekleştirilmiş olmasından duydukları memnuniyeti dile getirerek, bölge halkına ileri düzey tedavi imkânları sunmaya devam edeceklerini belirtti.
Yorumlar
Kalan Karakter: